Aktuelles 2023
Ein Hund entscheidet sich einmal für den Rest seines Lebens. Er fragt sich nicht, ob er wirklich mit uns alt werden möchte. Er tut es einfach. Seine Liebe, wenn wir sie erst verdient haben, ist absolut.
-Picasso-
***************************
Dezember 2023
Die große Überraschung zum Jahresende....
04.12.2023

Für den Sommer 2024 hatte ich eine Wurfplanung mit
meiner "Lena" und meinem "Cody".
Aber die "Zwei" hatten andere Pläne, sie wollten wohl nicht mehr so lange warten und
setzten diesen, am 06.11.2023, gleich in die Tat um....
Wir waren noch gute 2 Stunden ganz entspannt im Wald spazieren, weit vor der Standhitze und Anzeichen
waren auch noch nicht gegeben. Es wurde mal geschnuppert und das wars auch schon.
Auch Lena zeigte noch kein wirkliches Interesse und ihre Rude blieb an Ort und Stelle. :)
Trotzdem hatte ich sie schon nicht mehr alleine gelassen
und immer im Auge behalten.
Cody hatte ich sogar schon mit in die Arbeit genommen.
Zuhause angekommen lies ich sie aus dem Auto springen und da geschah es....
Ein paar Sekunden nur, habe ich ihnen den Rücken zugedreht, um meine Junghündin Amy aus
dem Auto zu heben.
Als ich mich wieder umgedreht hatte, war es schon passiert....

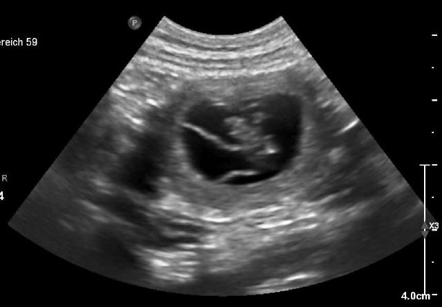
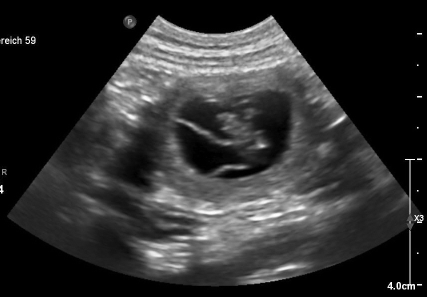
Heute am 04.12.2023 waren wir zum Ultraschall.
Ja, Volltreffer meinte der Tierarzt. Und so erwarten
wir Anfang Januar unseren B-Wurf.
Und auch wenn dieser Wurf nicht geplant war, sind die
Kleinen herzlich Willkommen. :)
Es sind:
Kinder der Liebe...
***************************
Oktober 2023
Wurfplanung Sommer 2024 - Cody und Lena

Im Sommer 2024 plane ich einen Wurf mit meiner
"Lena"-Charlene gold vom Hohen Steg
und meinen Rüden
"Cody"-Highland Breezes Once in a Lifetime
29.10.2023

Heute bekam ich eine wirklich schöne Nachricht
von Cindy, einer Welpenkäuferin.
Bei ihr lebt jetzt "Anton" (Arthur) und hat ein
ganz tolles Zuhause bekommen. :)
Bei solchen Worten wird es mir ganz warm ums
Herz. :)
"Das ist der beste Lohn für eine Züchterin"
Vielen lieben Dank Cindy.....
***************************
23.09.2023
Heute war es soweit!
Die Körung von meinen "Cody"-Highland Breezes Once in a Lifetime
Ich machte mich mit Cody auf den Weg,
zur 33. Spezialrassehundeausstellung nach Klaistow-Berlin.
Körrichterin war Ursula Langer.
Cody war, wie immer, sehr gelassen und ganz auf mich konzentriert.
Er hat seine Sache toll gemacht!
Körbericht der Körrichterin:
Kräftig harmonisch gebauter black-white Rüde. Sehr schöner Kopf,
dunkle Augen, hängend getragene Ohren, kräftiger Brustkorb, gerader Rücken,
sehr gute Winkelungen, steht vorne leicht Pfotenweit, harmonischer
Bewegungsablauf, freundliches Verhalten.
Verhalten beim Messen - neutral
Verhalten beim Chip-Ablesen - neutral
Verhalten bei der Gebisskontrolle - neutral
Verhalten gegenüber anderen Menschen - neutral
Verhalten gegenüber anderen Artgenossen - neutral
Formwertnote der Körung: V (vorzüglich) - Körklasse 2
Meine Freude war groß und somit haben sich auch
alle Anstrengungen, um Cody für die Zucht zuzulassen, gelohnt!
Es wurden alle Anforderungen erfüllt:
Röntgenuntersuchung der Hüft, Knie und Ellbogen
DNA-Untersuchung auf erbliche Erkrankungen
Augenuntersuchung auf erbliche Erkrankungen
Besuch von 2 Ausstellungen
Körung
Ab jetzt darf Cody zur Zucht eingesetzt werden und steht geeigneten Hündinnen als Deckrüde zur Verfügung !
***************************
11.09.2023
Heute war ich mit Cody in der Uniklinik Leipzig, zur Augenuntersuchung.
Befund:
Frei von allen erblichen Augenerkrankungen!!!
Bei vielen Rassehunden ist die Untersuchung auf erbliche Augenerkrankungen eine Voraussetzung für die Zuchtzulassung.
Diese offiziellen Augenuntersuchungen dürfen nur von speziell ausgebildeten Tierärzten durchgeführt werden.
Der Dortmunder Kreis (DOK) ist die Gesellschaft für die Diagnostik genetisch bedingter Augenerkrankungen.
Der DOK ist vom European College of Veterinary Ophthalmolgists (ECVO) anerkannt.
Die Untersucher des DOK dürfen diese Zuchtuntersuchungen durchführen.
Jetzt fehlt nur noch die Körung, damit Cody zur Zucht freigegeben wird!
***************************
02.08.2023

Der Abschied.....
Heute zog der letzte Welpe zu seiner neuen Familie.
Jeder einzelne Abschied war sehr sehr schwer.
Vor diesen Momenten hatte ich schon ein bisschen Angst.
Und meine Befürchtungen wurden bestätigt.
Ich musste sehr mit denTränen kämpfen...
Die Kleinen sind mir die letzten 2-3 Monate sehr ans Herz gewachsen.
Ob es bei weiteren Würfen besser wird???
Ich denke nicht. :)
Aber das Wissen, für alle Welpen ein tolles Zuhause gefunden zu haben,
tröstet mich doch sehr :)
Vor ca. 2 Wochen haben wir uns entschieden, Amy (Amely) zu behalten.
Es war überhaupt nicht geplant, auch wenn Freunde und Bekannte
es schon vorhergesehen hatten. :)
Nähere Angaben über die reizende Maus finden Sie auf der Seite von Amy!
***************************
08.07. - 09.07.2023
Unser A-Wurf 8 Wochen alt

Wie schnell doch die Zeit vergeht......
Mein bildhübscher A-Wurf ist mittlerweile 8 Wochen alt
und der Abschied rückt immer näher.
Gestern war die Wurfabnahme und alles war bestens, was mich
natürlich auch ein bisschen stolz macht :)
Es war mein 1. Wurf und bei so manchen Punkten fehlte auch die Erfahrung.
Jedoch hatte ich viel Unterstützung von lieben Züchtern, die mir
viele tolle Tipps gegeben haben.
Was soll ich sagen? Die letzten 8 Wochen, einschließlich der Geburt meiner süßen
Welpen, war eine sehr intensive, emotionale und tolle Erfahrung.
Oft war ich sprachlos, wie schnell die Entwicklung der Kleinen war. Nicht selten
konnte man täglich Fortschritte sehen.
Jeder meiner Welpen ist mir unheimlich ans Herz gewachsen und der Abschied wird
sicherlich auch Tränen kosten.
Aber ich freue mich auch wieder auf die Normalität und dass ich mich wieder voll und
ganz auf meine drei "Großen" konzentieren kann.
Viele Bilder finden Sie auf meiner Seite "A-Wurf".
***************************
13.05.+ 14.05.2023

Endlich!!! Die Wartezeit ist vorüber...
Unsere Lena hat ihre Welpen bekommen. :)
Am Abend vom 13.05. auf den 14.05.2023
kamen 7 Welpen zur Welt.
Leider war der 1.Welpe, ein red-white Mädchen,
eine Totgeburt. Das stimmte uns natürlich sehr traurig...
Aber das Endergebnis lies mir wieder ein Lächeln ins
Gesicht zaubern.
Sechs gesunde muntere Babys lagen am Schluss in der
Wurfkiste.
Lena war ihr Körbchen, für die Geburt, viel lieber. Als aber alle
Welpen da waren, sind wir in die Wurfkiste umgezogen. :)
4 Rüden red-white , 1 Rüde black-white, 1 Hündin black-white
Es war eine sehr lange Geburt, aber Lenchen war sehr tapfer und ihr
geht es sehr gut. Auch wenn der letzte Welpe, das Mädchen, mit
einem Kaiserschnitt geholt werden musste...
An dieser Stelle bedanke ich mich recht herzlich bei meiner
Tierärztin, die uns stundenlang zur Seite stand.
Viele Bilder findet man unter Würfe - A-Wurf
60/61. Trächtigkeitstag
***************************
11.05.2023
Die Untersuchungsergebnisse purzeln nur so rein... :)
Heute kam die Auswertung von Cody´s Röntgenaufnahmen
über HD/ED/OCD/LÜW
HD B
ED 0
OCD frei
LÜW frei
***************************
09.05.2023

Heute war ich mit Lena beim Röntgen.
Es wurden sieben Welpen gezählt.
Zwei mehr, als beim Ultraschall. :)
Die Spannung und Aufregung wächst.
Es sind nur noch wenige Tage.
Juhu...
Heute sind die Auswertungen der DNA Analysen
von Lena und Cody gekommen.
Und das Ergebnis lässt sich sehen. :)
Lena ist frei von:
RS/SN/EAOD/GG/IGS/MDR1
TNS Träger
Codyist frei von:
RS/SN/EAOD/TNS/IGS/MDR1
GG Träger
Zudem trägt er die Farbe:
red-white und slate-white
***************************
06.05.2023

Und schon eine Woche später gingen Cody und ich
auf die 2.Ausstellung, zur 33.Sachsenschau in Penig.
Hurra!! Und diesmal hat er ein V4 (vorzüglich Platz 4)
bekommen.

Und im Sommer sehen wir dann weiter, welche
Möglichkeiten zum Ausstellen bestehen.
Bis dahin habe ich dann auch die Auswertungen
des DNA-Profils und der Röntgenuntersuchungen...
***************************
01.05.2023

Cody hatte heute seine 1. Ausstellung.
Wir waren zur Club-Sieger-Ausstellung in Berlin
und liefen in der Jugendklasse.
Auch für mich war es erst die 2.Ausstellung und
so waren wir beide eher Frischlinge. :)
Cody hat ganz toll mitgemacht. Von den anderen Hunden
und den ganzen Aktivitäten ringsum hatte er sich nicht ablenken
lassen. Er war ganz bei mir.

Ein erhofftes V (vorzüglich) blieb leider aus. Es wurde
ein SG3 (sehr gut Platz 3).
Ich bin sehr stolz auf ihn und lasse mich überraschen,
was uns der weitere Weg bringt....
28.04.2023

Es lässt sich nicht mehr leugnen...
In ca. 2 Wochen kommen die Welpis :)
45.Trächtigkeitstag
***************************
11.04.2023

Hurra!!! Lena ist trächtig!!! :)
Heute am 11.04.2023 war ich mit Lena zum Ultraschall und es wurden 5 Fruchtblasen festgestellt.
Der Wurf wird am 14.05.2023 erwartet!
28.Trächtigkeitstag.
***************************
14.03.+15.03.2023
Am 14.03.+15.03.2023 wurde meine Lena von "Pino" gedeckt. Beide Deckakte waren erfolgreich, aber auch nicht ganz einfach :)
Aber Mandy, die Deckrüdenbesitzerin, war zur Stelle und hatte alles voll im Griff :)
Der Progesteronwert (gestern 13.03.23/16.Läufigkeitstag) betrug 16,5 ng/ml.
17. und 18. Läufigkeitstag